오늘은 모야모야병에 대해 알아보도록 하겠습니다.
모야모야병이란?

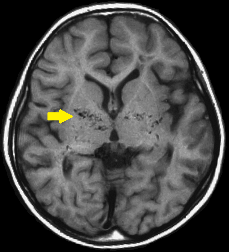
모야모야병은 뇌혈관 중 하나인 내경동맥이 막혀 혈류가 제한되는 질병입니다.
이로 인해 뇌혈류가 감소하고, 혈전증 등의 문제가 발생할 수 있습니다.
이 질병은 뇌혈관 촬영을 통해 확인되며, 때때로 뇌혈관에서 "담배 연기"처럼 보이는 혈류 모양 때문에 모야모야라는 용어로 불리게 되었습니다.
측부혈행이 생겨 막힌 혈류를 보충하려 하지만, 이는 출혈이나 혈전증과 같은 문제를 유발할 수 있습니다.
진단에 따라 외과적 치료가 필요한 경우도 있을 수 있습니다.
모야모야병은 중대한 신경학적 증상을 유발할 수 있으므로, 전문적인 치료 및 관리가 필요합니다.
모야모야병의 증상은?

모야모야병의 증상은 일반적으로 다음과 같을 수 있습니다
1. 두통
주로 발생하는 증상 중 하나로, 가끔은 심각한 두통이 발생할 수 있습니다.'
2. 쇽(둔화)
감각이나 운동능력의 일시적인 상실로 나타날 수 있습니다.
3. 언어 및 발달 장애
말을 하거나 이해하는 데 어려움이나 발달 지연이 나타날 수 있습니다.
4. 눈의 이상 증상
시력의 변화, 시야에 이상이 있거나, 눈의 운동 제어에 문제가 생길 수 있습니다.
5. 뇌졸중
혈류 제한으로 인해 뇌졸중이 발생할 수 있습니다.
이러한 증상은 각 개인마다 다를 수 있으며, 병의 심각성과 진행 상태에 따라 다양할 수 있습니다.
만일 모야모야병과 관련된 의심되는 증상이 있다면, 즉시 전문 의료진과 상담하는 것이 중요합니다.
모야모야병의 치료방법은?

1. 외과적 치료
혈류를 개선하고 뇌에 충분한 혈액을 공급하기 위해 외과적 개입이 필요한 경우가 있습니다.
이는 혈관 우회술이나 혈관 재건술 등의 수술을 포함할 수 있습니다.
이러한 수술적 치료는 혈류를 증가시키고 뇌에 충분한 혈액 공급을 유지하는 데 도움이 됩니다.
2. 증상 관리 및 예방적 치료
증상을 관리하고 합병증을 예방하기 위해 약물 치료가 일반적으로 사용됩니다.
혈압 관리, 혈액 은압 관리, 항응고제 등이 사용될 수 있습니다.
또한 뇌졸중 예방을 위해 항혈전제가 사용될 수도 있습니다.
치료 방법은 환자의 상태, 질병의 심각성 및 진행 상태에 따라 다를 수 있습니다.
따라서 치료 방법은 각 환자에 맞게 맞춤화되어야 합니다.
전문적인 의료진과 상담하여 환자 개개인에게 가장 적합한 치료 계획을 수립하는 것이 중요합니다.
기스트암에 대해 궁금하시면,
오늘은 모야모야병의 증상과 치료방법에 대해 알아보았습니다.
모두 몸과 마음의 건강을 누리시길 바랍니다.
'일상의 모든 것' 카테고리의 다른 글
| 신우신염 원인 및 증상 (0) | 2023.12.18 |
|---|---|
| VDT 증후군 증상 및 예방법 (0) | 2023.12.17 |
| 스톡홀름 증후군(신드롬) 과 리마 증후군 (1) | 2023.12.15 |
| 아스퍼거 증후군 테스트 (0) | 2023.12.14 |
| 아스퍼거 증후군 원인과 증상 (0) | 2023.12.13 |